Thanh Cong Medical Clinic
Thanh Cong Medical Clinic
ĐHCĐ 2026 - Biểu Quyết
Đại Hội Cổ Đông Thường Niên 2026
Phiếu biểu quyết số 1 - Thông qua Danh sách Ban kiểm phiếu; Nội qui Đại hội; Chương trình Đại hội
Mã cổ đông:
Tên cổ đông:
TTNội dung biểu quyếtTán thànhKhông tán thànhKhông có ý kiến
1 Danh sách Ban kiểm phiếu;
2 Nội qui Đại hội;
3 Chương trình Đại hội;
Phiếu biểu quyết số 2 - Thông qua các báo cáo tờ trình
Mã cổ đông:
Tên cổ đông:
TTNội dung biểu quyếtTán thànhKhông tán thànhKhông có ý kiến
4 Báo cáo kết quả hoạt động của Công ty năm 2025 và Kế hoạch kinh doanh năm 2026;
5 Báo cáo tài chính đã kiểm toán của Công ty năm 2025;
6 Báo cáo của Ban Kiểm soát về hoạt động của Công ty năm 2025;
7 Báo cáo thực hiện phân phối lợi nhuận, cổ tức năm 2025 và kế hoạch năm 2026;
8 Lựa chọn công ty kiểm toán cho năm tài chính 2026;
9 Báo cáo thực hiện thanh toán thù lao của HĐQT & Ban Kiểm soát năm 2025 và kế hoạch thù lao năm 2026;
10 Tờ trình sửa đổi Điều lệ Công ty: thay đổi địa chỉ, cập nhật phân loại ngành nghề theo qui định mới, bổ sung ngành nghề kinh doanh.
Phiếu biểu quyết số 3 - Thông qua Nghị quyết, Biên bản Đại hội
Mã cổ đông:
Tên cổ đông:
TTNội dung biểu quyếtTán thànhKhông tán thànhKhông có ý kiến
11 Thông qua Nghị quyết Đại hội;
12 Thông qua Biên bản Đại hội;
13 Vấn đề phát sinh 1;
14 Vấn đề phát sinh 2.
  • Giới thiệu về ĐHCĐ 2025
  • Thông tin về biểu quyết
  • Hướng dẫn tham gia ĐHCĐ
  • Các liên kết hoặc tài liệu cần thiết cho cổ đông.

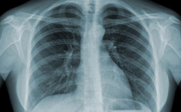
Chụp X quang là một thuật ngữ khá phổ biến và quen thuộc trong y học. Vậy X quang là gì và chụp X quang để làm gì? Dưới đây là 22 câu trả lời về các vấn đề liên quan đến bức xạ tia X, cũng như những lợi ích đi kèm rủi ro của chúng.

Bản quyền thuộc về Phòng khám đa khoa Thành Công

Developed by HS

X

Bạn cần hỗ trợ